Trồng răng
Implant
Ăn ngon, cười xinh!
trả góp 0%
Hoàn thành
chỉ sau
18h
Răng đã mất? Đừng mất nụ cười!
Ưu đãi sắp kết thúc
Hết thời gian Khuyến mãi!
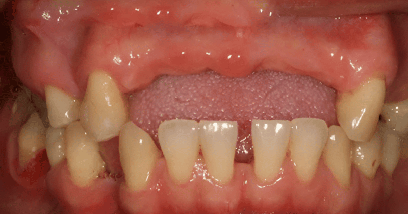
Mất răng khiến bạn tự ti, ngại giao tiếp? Ăn uống khó khăn, ảnh hưởng đến sức khỏe? Đừng lo lắng! Nha khoa Đông A mang đến giải pháp trồng răng Implant tiên tiến, giúp bạn lấy lại nụ cười tự tin và cuộc sống trọn vẹn chỉ sau 2 tuần.
Mất răng cửa: Ảnh hưởng đến thẩm mỹ và phát âm.
Mất răng hàm: Gây khó khăn trong việc ăn nhai và tiêu hóa thức ăn.
Mất nhiều răng: Ảnh hưởng nghiêm trọng đến chức năng ăn nhai và thẩm mỹ.
Mất răng toàn hàm: Gây ra nhiều vấn đề về sức khỏe và tâm lý.




Đừng để mất răng làm mất đi niềm vui cuộc sống
VÌ SAO NÊN CHỌN
Hệ thống cơ sở vật chất tiên tiến hiện đại, đội ngũ Y- Bác Sĩ có tay nghề cao, giàu kinh nghiệm. Là một trong những thương hiệu Nha Khoa uy tín đáng tin cậy nhất cho khách hàng có nhu cầu trồng răng và điều trị các vấn đề về răng miệng tại TP.HCM.

Đội ngũ bác sĩ giàu kinh nghiệm, đứng đầu là BS. Cang Hồng Thái, hơn 20 năm chuyên sâu cấy ghép Implant, phục hình răng thẩm mỹ, chỉnh nha hàng đầu Việt Nam.

Trang thiết bị nhập khẩu, ứng dụng công nghệ tiên tiến nhất, đảm bảo an toàn và hiệu quả tối ưu.

Tuân thủ nghiêm ngặt quy trình cấy ghép Implant theo tiêu chuẩn quốc tế, mang đến kết quả tốt nhất cho khách hàng.

Hàng ngàn khách hàng đã hài lòng với dịch vụ trồng răng Implant tại Nha Khoa Đông A.
• Chuyên môn: Cấy ghép Implant nha khoa, phẫu thuật trong miệng và hàm mặt, phục hình, chỉnh nha, nha khoa thẩm mỹ.
• Ngôn ngữ: Tiếng Việt, tiếng Anh, tiếng Hoa.
• Thâm niên: Hơn 20 năm chuyên sâu về cấy ghép Implant, phục hình răng thẩm mỹ, chỉnh nha.
Bác Sĩ CKI: Cang Hồng Thái
• Tốt nghiệp Bác sĩ Răng Hàm Mặt.
• Tốt nghiệp chứng chỉ nha khoa thẩm mỹ liên đại học Việt-Pháp (ĐH Bordeaux II cấp).
Chứng chỉ Phẫu thuật Implant tại Viện Implant Dentium, Hàn Quốc. Chứng chỉ tham dự đào tạo liên tục Implant và các kỹ thuật hỗ trợ. Chứng chỉ tham dự về Laser Nha Khoa của Viện Laser lâm sàng thế giới.
• Các chứng chỉ chuyên sâu khác được đào tại tại Thái Lan, Singapore,
• Hàn Quốc, Hoa Kỳ.
• Chứng chỉ hành nghề khám bệnh, chữa bệnh do Sở Y Tế TPHCM cấp. Từng công tác tại Bệnh Viện Răng Hàm Mặt, Đại Học Y Dược TPHCM trước khi thành lập và làm giám đốc chuyên môn Nha Khoa.
Bạn không muốn mất răng trở thành ám ảnh
Khôi phục chức năng ăn nhai như răng thật, giúp bạn thưởng thức mọi món ăn yêu thích.
Mất 1 răng: Trồng răng Implant đơn lẻ, nhanh chóng và thẩm mỹ. Mất nhiều răng: Cầu răng Implant hoặc trồng nhiều răng Implant riêng lẻ, tùy thuộc vào vị trí và tình trạng răng. Mất răng toàn hàm: Các phương pháp Implant toàn hàm như All-on-4, All-on-6, All-on-8 giúp phục hồi toàn bộ hàm răng với số lượng trụ Implant tối ưu.
Răng Implant giống hệt răng thật về hình dáng, màu sắc và độ bền, mang lại nụ cười tự tin.
Bảo vệ xương hàm, ngăn ngừa lão hóa và duy trì đường nét khuôn mặt.
Răng Implant có thể tồn tại suốt đời nếu được chăm sóc đúng cách.
Trồng răng Implant là phương pháp phục hình răng tiên tiến, thay thế chân răng đã mất bằng trụ Implant làm từ Titanium. Trụ Implant sẽ tích hợp với xương hàm, tạo nền tảng vững chắc cho mão răng sứ bên trên, giúp bạn ăn nhai và giao tiếp thoải mái như răng thật.
Bác sĩ khám tổng quát, chụp phim 3D để đánh giá tình trạng răng miệng và xương hàm.
Răng bị ố vàng, sỉn màu do thường xuyên sử dụng đồ uống có màu như: cà phê, trà, thuốc lá,…
Răng bị ố vàng, sỉn màu do thường xuyên sử dụng đồ uống có màu như: cà phê, trà, thuốc lá,…
Sứ Venus được nung ở nhiệt độ 1600 độ C nên rất cứng, vì vậy nó có khả năng chịu lực tốt, bạn có thể ăn nhai hoàn toàn thoải mái.
Cấy Implant có đau không chủ yếu phụ thuộc vào cơ địa và khả năng chịu đau của mỗi người. Tuy nhiên, nếu quy trình cấy Implant được thực hiện bởi Bác sĩ giỏi và có sự hỗ trợ của máy móc tiên tiến thì sẽ diễn ra rất nhẹ nhàng, thoải mái.
Đối tượng NÊN cấy ghép Implant: người mất răng lâu lăm (mất 1 răng, nhiều răng hoặc toàn bộ răng), người mất răng nhưng không thể làm cầu răng sứ, người có răng bị hư hỏng (sâu răng, viêm nha chu,…).
Đối tượng KHÔNG NÊN cấy ghép Implant: người có vùng định cắm Implant bị viêm nhiễm, người dưới 18 tuổi, phụ nữ có thai, người mắc bệnh rối loạn tâm thần,…
Ăn uống thoải mái sau trồng răng Implant – Nhanh hơn bạn nghĩ!
Trồng răng Implant chỉ là một tiểu phẫu đơn giản, bạn có thể ăn uống trở lại chỉ sau vài giờ.




Bạn cần tư vấn?
Vui lòng điền thông tin dưới đây và chúng tôi sẽ liên hệ với bạn sớm nhất
Giờ làm việc
Sáng: 08:00 - 12:00
Chiều: 14:00 - 20:00
Địa chỉ
19A Nguyễn Đình Chiểu, phường 04, Quận Phú Nhuận, HCM
(84) 937 052 226